
Call me back
We’re Accepting New Patients!
Looking for a caring and professional dental practice? We’re excited to welcome new patients to our clinic! Whether you’re due for a check-up, need treatment, or are looking to enhance your smile, our friendly team is here to help.
Contact us today to book your first appointment—we look forward to meeting you!
- Home
- Treatments
- Restorative dentistry
- Crowns
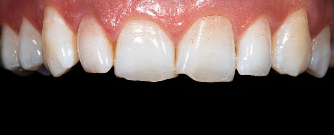
Crowns
Crowns are advised when it is necessary to protect, strengthen and restore teeth. They may also be used to cover discoloured or misshapen teeth to improve the overall appearance of your smile.
Available in a range of materials, our crowns permanently sit over the entire visible surface of your existing tooth and are made to look as real as your own natural tooth.
The procedure takes two appointments. At the first appointment, we minimally shape the tooth and place a temporary crown. About 14 days later at your second appointment, we remove the temporary crown, place your new crown and check the fit and your bite.
The crown can last for many years if good oral hygiene is maintained, depending on the condition of the original tooth. Additional care should be taken to keep the crown and surrounding area clean. Your Durban Dental Centre dentist or dental hygienist will recommend an appropriate home care regime.
Related pages
Get in touch
To speak with one of the team, give us a call on 01892 652377 or request a call back.
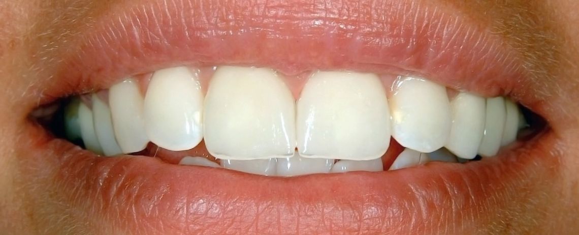
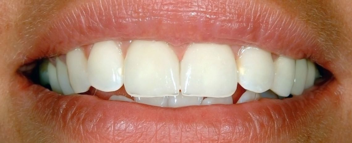
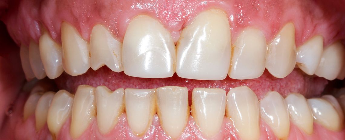
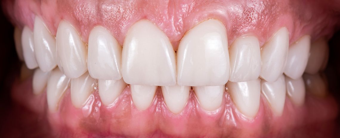
Before and after







People are talking about us
The biggest complement we receive is when our patients refer their friends and family to Durban Dental Centre. In fact, we have built much of our practice on these valued, trusted recommendations over the years. Read our reviews to hear why our patients are recommending us…
Patient reviews
870 Reviews
14th October 2025
I was so very nervous and everyone was kind and patient to me. I didn’t feel rushed. Excellent care and treatment was given to me.
Joshua Ellis
Brilliant across the board im always nervous about going to the dentist, but everyone was fantastic including the staff at the front desk EJ and Heather.
1st October 2025
First class in every sense.
24th September 2025
I have been with this practice throughout my adult life and have always been satisfied with the treatment received from all who have treated me.
18th September 2025
I have been attending Durban for many years and feel comfortable there
18th September 2025
Everyone in the clinic is friendly, professional and caring. They also all have a good sense of humour. I have been coming to Durban for over forty years and I have always had excellent service.
16th September 2025
Everyone was very polite and very professional.
10th September 2025
They are all very friendly, very efficient and never feel I'm being rushed.
Deborah C
A great dentist. Have tried other dentist closer to home but prefer the Durban. Lovely helpful staff and great Hygenist.
11th August 2025
Mr A Sim and Kirsty were absolutely brilliant attentive and caring
5th August 2025
I have been using this practice for about 30 years and will continue to do so
2nd August 2025
Lovely reception staff tho sometimes quite pressedCheerful and helpful dental nursesNot being rushed through
J Penn
I see Ashley at Durban Dental and he is superb. I wouldn't hesitate to recommend him. His knowledge and clinical skills seem top notch. He offers practical and sound advice, without pushing unnecessary treatments. He gives confidence and is calm and patient. I find the whole team welcoming and very professional. Highly recommended.
31st July 2025
I am a nervous patient but I have every confidence in my dentist. This has changed my whole outlook in coming to the dentist. Also the treatment and results are excellent . The patience and time taken to insure the tooth is smooth after the filling and fits the gap correctly is extraordinary . A very happy patient .
31st July 2025
A very competent dentist who kept me informed throughout the procedure.
18th July 2025
I was experiencing problems with my general health that affected my next step forward with dental treatment. The dentist was extremely understanding and patient coming up with a solution and produced a denture that has been extremely successful.
16th July 2025
Everything was explained as the treatment progressed and I was asked repeatedly if I was okay during the whole process.
10th July 2025
The helpfulness and courtesy of all the staff.
3rd July 2025
All the staff were very kind and helpful.
29th June 2025
Very professional