We’re Accepting New Patients!

Read More Next

Looking for a caring and professional dental practice? We’re excited to welcome new patients to our clinic! Whether you’re due for a check-up, need treatment, or are looking to enhance your smile, our friendly team is here to help.
Contact us today to book your first appointment—we look forward to meeting you!

Dentures

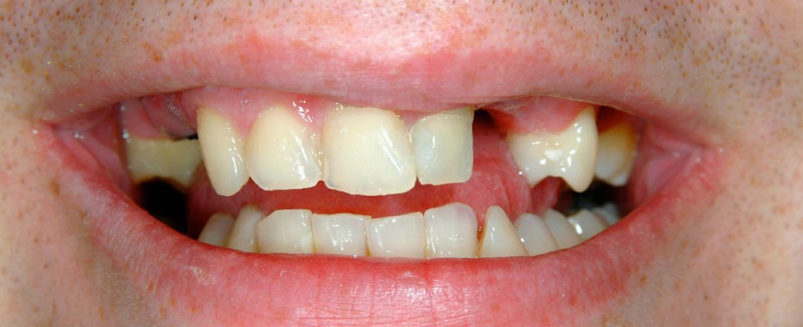
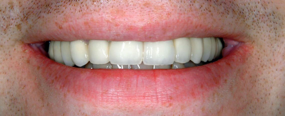
Dentures are used to replace the function and appearance of natural teeth and restore your smile. Whether you are missing one tooth or many, we can carefully design a solution that’s right for you.

At Durban Dental Centre our dentures are durable and long-lasting, enable you to eat more foods and chew more easily, and help avoid further tooth loss.

Your dentist will work alongside a team of experienced clinical dental technicians to carefully craft bespoke, natural dentures designed for your comfort, function and longevity.

Made from the highest quality acrylic resin using next-generation digital design and production tech, Dentures from Durban Dental Centre are the ultimate non-permanent solution to missing teeth. This master craftsmanship and premium materials ensures each set of dentures is indistinguishable from beautiful natural teeth.

We offer a range of dentures to meet your individual needs:

Dentures Video
Play
Partial Dentures Video
Play

Full dentures

Full dentures from Durban Dental Centre in East Sussex are carefully designed for a millimetre perfect fit, ensuring a comfortable and non-slip fit for years to come. They are the recommended option for replacing a full row or arch of teeth. Our full dentures are designed to look and function just like natural teeth.

Partial dentures and overdentures

When missing teeth cause a gap in the smile, partial dentures, or overdentures, are a functional, lifelike replacement. We offer an extensive range of materials and colour options to match partial dentures to your existing teeth. They are an effective and reliable way to restore both function and aesthetics and give you your confidence back.

Implant-retained dentures

For the ultimate in comfort and convenience, ask your Durban Dental Centre dentist about implant-retained dentures. With this solution your denture is secured in place using one or several secure titanium implants in the jaw. These securely anchoring your denture in place so you no longer have to worry about slippages, discomfort and the daily fight with adhesive.

If you are looking for dentures in East Sussex and Crowborough and want to know more about your options, get in touch to arrange a consultation at Durban Dental Centre.

Patient Reviews

People are talking about us

The biggest complement we receive is when our patients refer their friends and family to Durban Dental Centre. In fact, we have built much of our practice on these valued, trusted recommendations over the years. Read our reviews to hear why our patients are recommending us…

Patient reviews

956 Reviews

5.0

16th April 2026

Ashley Sim was friendly, professional, and very thorough.Above all, he was honest and made me feel that I was valued, which in turn made me inclined to trust him and the practice.

16th April 2026

Really nice staff.Clean practice Always able to get an appointment that fits around work

15th April 2026

Very happy with our dental surgeon Ahmet.

15th April 2026

I think the service the dental gave was excellent. The staff there are always so friendly & professional. I was checked on throughout my procedure.

15th April 2026

Everybody was very helpful and caring.

14th April 2026

Ash is the consummate professional and I rate him very highly.I like the fact that he builds a relationship with his patients.

14th April 2026

Friendly and efficient staff and the hygienist and dentist were professional and carried out work effectively and comfortably

14th April 2026

Kind, supportive friendly staff

14th April 2026

Everyone does their job properly and Jacob explains things clearly.

14th April 2026

Great support team and a fabulous hygienist who I visit every 3 months.My concern regarding recommending it to others is in your pricing.I feel to put up prices again for the patient to pay for your refurbishment is frankly insulting. To suggest changes were for the patient are ridiculous! They were for your staff and your business should have paid.I was seriously unimpressed by the price hike- if it was not that I so appreciative of the care of Christine Lacey I certainly lt would have reconsidered my options

13th April 2026

Everyone was respectful and welcoming. The air flow treatment was explained in full to me and I was given the option to decline. Sharon explained the whole process before and during treatment. I found this much better than the water treatment and will defiantly continue to have this. I usually have sensitive teeth for a few days following the water treatment, I have not had this and was delighted with how my teeth look following the air treatment.

13th April 2026

.

13th April 2026

I was seen by Jacob … he was excellent in explaining my options and giving an honest appraisal … I would like to use him in the future and will recommendThank you

9th April 2026

The dentist explained the procedure to me. And the fillings were done in an efficient manner.

2nd April 2026

Staff who are keen to solve my dental problems and explain everything to me.

1st April 2026

Efficient and effective

1st April 2026

Friendly smiling faces, efficient administration and a caring hygienist.The staff continuity is also a massive plus for me, as a loyal patient who has been attending for more than 4 decades.What is not to like?

1st April 2026

Everything went as expected so I’m happy. However the cost of the treatment is expensive & seems to have increased a lot.

30th March 2026

I have always been happy with the service that Durban dental provide, it is professional & to a high standard, especially Sharon the hygienist.

28th March 2026

Dental team was helpful. Listened to my issues and spent an extended period of time discussing treatment options . Was a good experience

Prev Previous
Next Next