We’re Accepting New Patients!

Read More Next

Looking for a caring and professional dental practice? We’re excited to welcome new patients to our clinic! Whether you’re due for a check-up, need treatment, or are looking to enhance your smile, our friendly team is here to help.
Contact us today to book your first appointment—we look forward to meeting you!

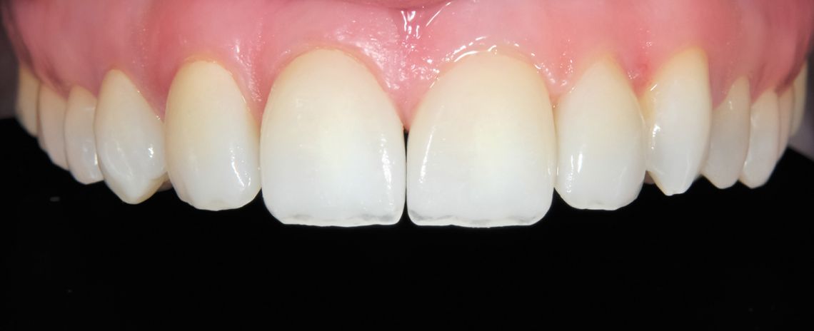
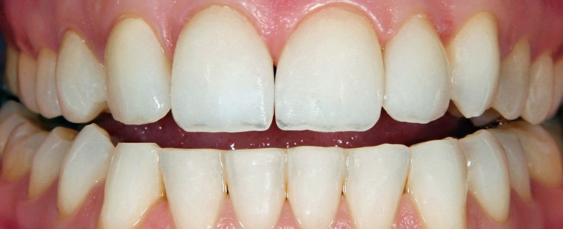
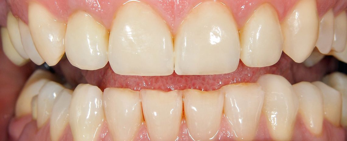
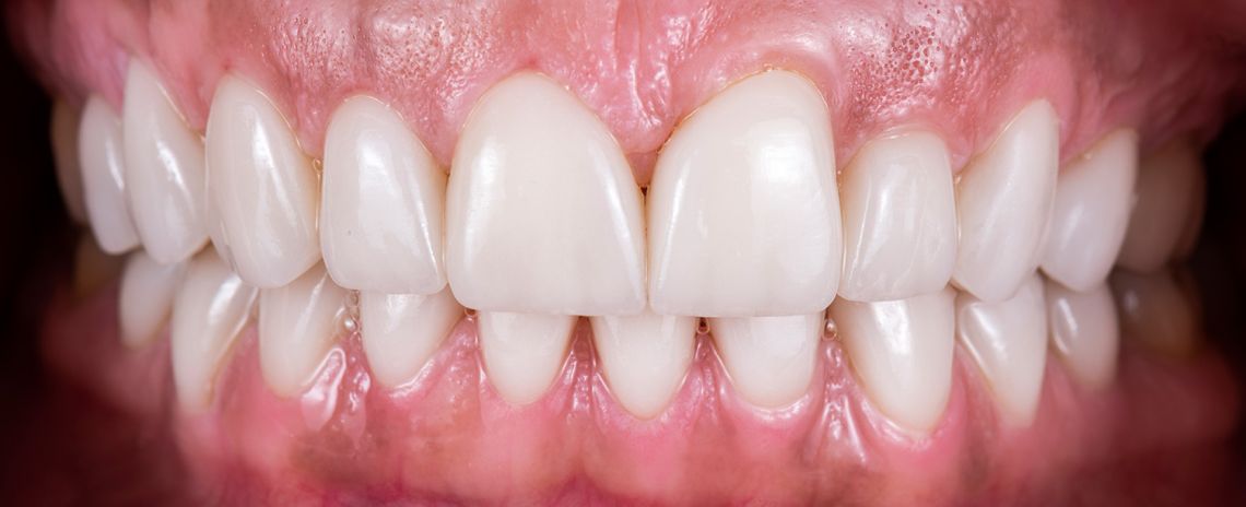
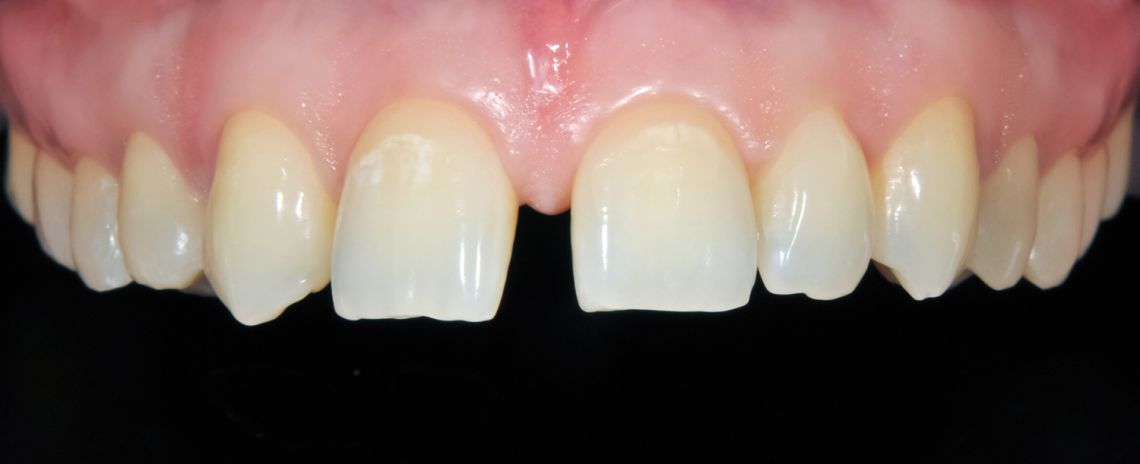
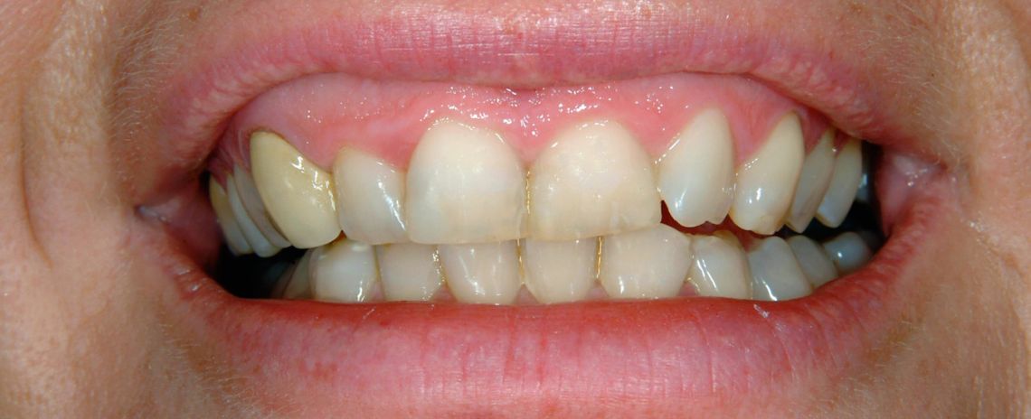
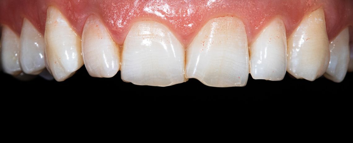
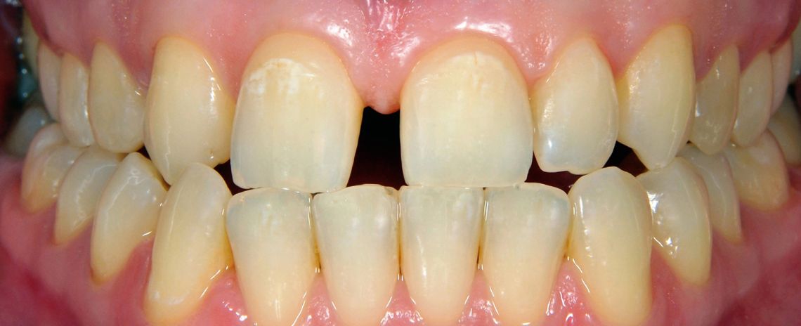
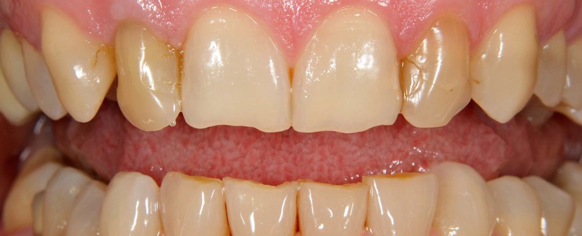
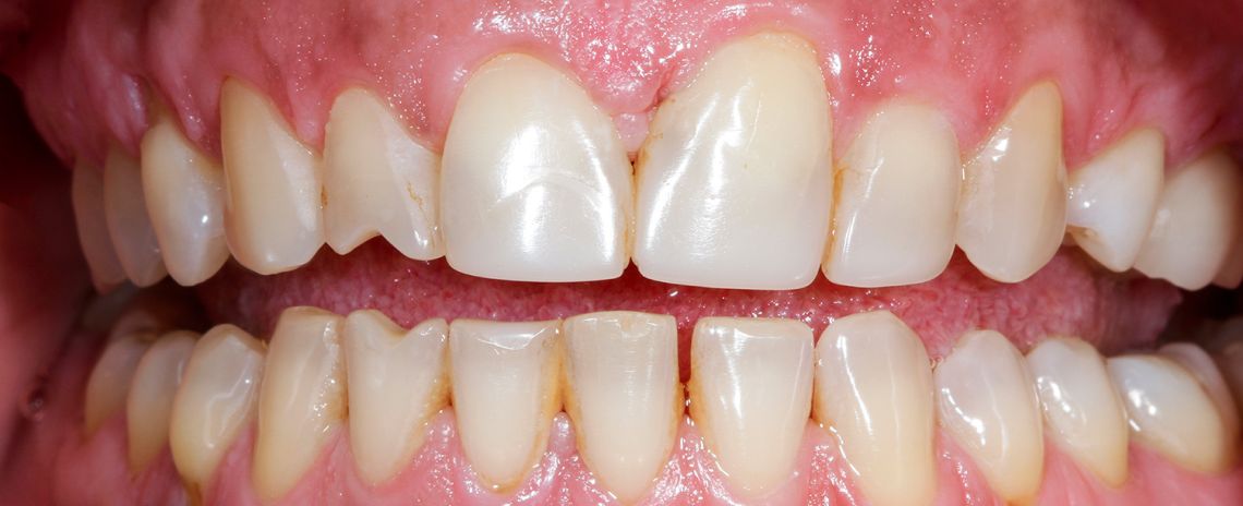
Composite bonding

A non-invasive use of tooth-coloured filling material to lengthen or re-shape the front teeth.

Bonding uses a composite resin to close spaces, change the colour of the teeth, mask any discolorations, repair chips, change the size or shape of teeth, and give crooked or uneven teeth a straight-looking appearance.

Cosmetic bonding can be used on a single tooth or transform an entire smile. It is a simple technique that allows the white filling material to bond to the natural tooth, usually without the need to prepare/shape the tooth and is completed in one short visit. Another advantage of this technique is that an anaesthetic is not normally required, allowing you to smile with confidence, immediately. An artistic eye is required in order to produce natural seamless results and the dental team at Durban Dental Centre have trained extensively in this procedure, transforming many smiles.

After cosmetic bonding, your new smile should last several years depending on your lifestyle. Smoking, drinking or using your teeth as tools, may reduce the life expectancy of the bonding and you may need to get your teeth polished once a year as the bonding material stains more readily than natural teeth.

Call us on 01892 652377 to book a consultation and discuss your smile makeover options.

Meet the team

Dr Ahmet Bilginer

Dentist

GDC NO. 72676

Dr Ashley Sim

Dentist

GDC NO. 251058

Previous
Next
Patient Reviews

People are talking about us

The biggest complement we receive is when our patients refer their friends and family to Durban Dental Centre. In fact, we have built much of our practice on these valued, trusted recommendations over the years. Read our reviews to hear why our patients are recommending us…

Patient reviews

958 Reviews

5.0

18th April 2026

I have been attending Durban Dental surgery for a number of years. Both Christine and Ahmet are brilliant! I would highly recommend as a direct result of my experience with them.

17th April 2026

Professional service always helps.

16th April 2026

Ashley Sim was friendly, professional, and very thorough.Above all, he was honest and made me feel that I was valued, which in turn made me inclined to trust him and the practice.

16th April 2026

Really nice staff.Clean practice Always able to get an appointment that fits around work

15th April 2026

Very happy with our dental surgeon Ahmet.

15th April 2026

I think the service the dental gave was excellent. The staff there are always so friendly & professional. I was checked on throughout my procedure.

15th April 2026

Everybody was very helpful and caring.

14th April 2026

Ash is the consummate professional and I rate him very highly.I like the fact that he builds a relationship with his patients.

14th April 2026

Friendly and efficient staff and the hygienist and dentist were professional and carried out work effectively and comfortably

14th April 2026

Kind, supportive friendly staff

14th April 2026

Everyone does their job properly and Jacob explains things clearly.

14th April 2026

Great support team and a fabulous hygienist who I visit every 3 months.My concern regarding recommending it to others is in your pricing.I feel to put up prices again for the patient to pay for your refurbishment is frankly insulting. To suggest changes were for the patient are ridiculous! They were for your staff and your business should have paid.I was seriously unimpressed by the price hike- if it was not that I so appreciative of the care of Christine Lacey I certainly lt would have reconsidered my options

13th April 2026

Everyone was respectful and welcoming. The air flow treatment was explained in full to me and I was given the option to decline. Sharon explained the whole process before and during treatment. I found this much better than the water treatment and will defiantly continue to have this. I usually have sensitive teeth for a few days following the water treatment, I have not had this and was delighted with how my teeth look following the air treatment.

13th April 2026

.

13th April 2026

I was seen by Jacob … he was excellent in explaining my options and giving an honest appraisal … I would like to use him in the future and will recommendThank you

9th April 2026

The dentist explained the procedure to me. And the fillings were done in an efficient manner.

2nd April 2026

Staff who are keen to solve my dental problems and explain everything to me.

1st April 2026

Efficient and effective

1st April 2026

Friendly smiling faces, efficient administration and a caring hygienist.The staff continuity is also a massive plus for me, as a loyal patient who has been attending for more than 4 decades.What is not to like?

1st April 2026

Everything went as expected so I’m happy. However the cost of the treatment is expensive & seems to have increased a lot.

Prev Previous
Next Next