Call me back
We’re Accepting New Patients!
Looking for a caring and professional dental practice? We’re excited to welcome new patients to our clinic! Whether you’re due for a check-up, need treatment, or are looking to enhance your smile, our friendly team is here to help.
Contact us today to book your first appointment—we look forward to meeting you!
- Home
- Treatments
- Smile makeover
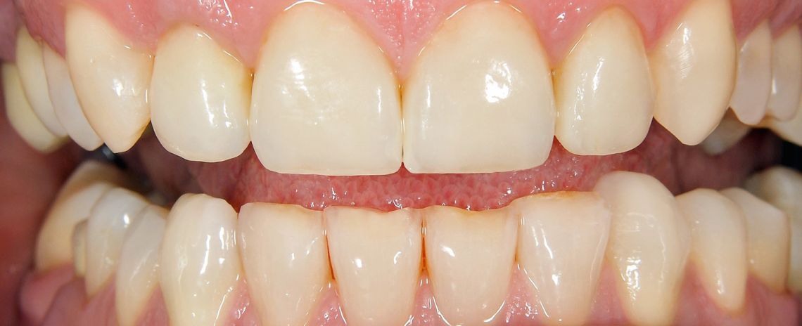
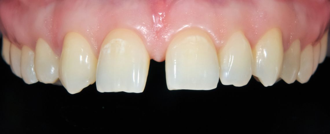
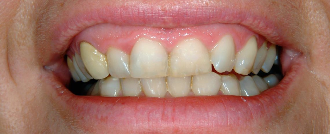
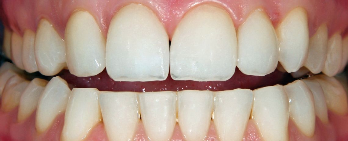
Repair, renew, transform
Give nature a helping hand with our smile makeovers at Durban Dental Centre. We offer a comprehensive range of treatments to help you achieve that winning smile.
A Smile Makeover is a combination of both the skill of the dentist and advanced cosmetic dental treatments in order to create your best possible smile. Whatever your reasons for wanting a smile makeover, there are many different ways in which we can help with:
- Whitening stained teeth
- Straighten crooked teeth
- Repair, replace and improve the appearance of chipped or broken teeth
- Replace missing teeth
- Improve a "gummy" smile
The result of a Smile Makeover should be a smile to be proud of; straighter, whiter and better aligned.
Related pages
Get in touch
To speak with one of the team, give us a call on 01892 652377 or request a call back.
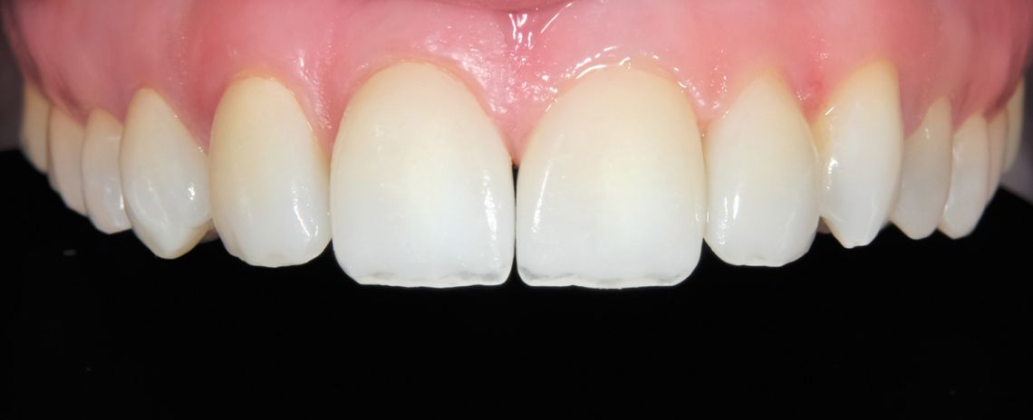
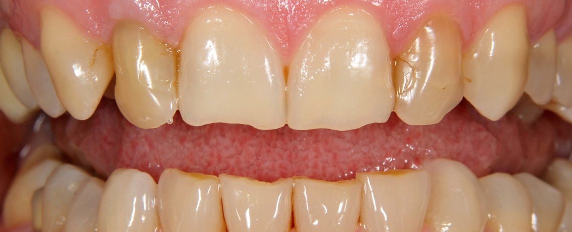
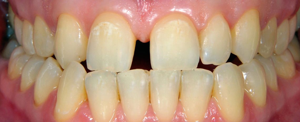
Before and after
People are talking about us
The biggest complement we receive is when our patients refer their friends and family to Durban Dental Centre. In fact, we have built much of our practice on these valued, trusted recommendations over the years. Read our reviews to hear why our patients are recommending us…
Patient reviews
876 Reviews
16th December 2025
I have been coming regularly recently in preparation for further treatments, this included some extractions. Following the extractions, I suffered some pain and a small infection - I was highly satisfied at how quickly I was seen during these difficulties and the care I received during this time
24th October 2025
The whole experience from walking in is smooth and everyone is so welcoming from the reception team to the dentist and the dental nurse.
23rd October 2025
Nice environment, modern equipment, competent Dentist.
23rd October 2025
Friendliness of staff and very welcoming. Listened and very reassuring
21st October 2025
Everyone extremely accommodating and helpful. Explanation of treatment very clear.
21st October 2025
A friendly efficient effective experience.
14th October 2025
I was so very nervous and everyone was kind and patient to me. I didn’t feel rushed. Excellent care and treatment was given to me.
Joshua Ellis
Brilliant across the board im always nervous about going to the dentist, but everyone was fantastic including the staff at the front desk EJ and Heather.
1st October 2025
First class in every sense.
24th September 2025
I have been with this practice throughout my adult life and have always been satisfied with the treatment received from all who have treated me.
18th September 2025
I have been attending Durban for many years and feel comfortable there
18th September 2025
Everyone in the clinic is friendly, professional and caring. They also all have a good sense of humour. I have been coming to Durban for over forty years and I have always had excellent service.
16th September 2025
Everyone was very polite and very professional.
10th September 2025
They are all very friendly, very efficient and never feel I'm being rushed.
Deborah C
A great dentist. Have tried other dentist closer to home but prefer the Durban. Lovely helpful staff and great Hygenist.
11th August 2025
Mr A Sim and Kirsty were absolutely brilliant attentive and caring
5th August 2025
I have been using this practice for about 30 years and will continue to do so
2nd August 2025
Lovely reception staff tho sometimes quite pressedCheerful and helpful dental nursesNot being rushed through
J Penn
I see Ashley at Durban Dental and he is superb. I wouldn't hesitate to recommend him. His knowledge and clinical skills seem top notch. He offers practical and sound advice, without pushing unnecessary treatments. He gives confidence and is calm and patient. I find the whole team welcoming and very professional. Highly recommended.
31st July 2025
I am a nervous patient but I have every confidence in my dentist. This has changed my whole outlook in coming to the dentist. Also the treatment and results are excellent . The patience and time taken to insure the tooth is smooth after the filling and fits the gap correctly is extraordinary . A very happy patient .